Bulletin N°56

L’expression d'Arginase-1 par les macrophages infiltrants compromet la récupération fonctionnelle post-AVC – PNAS – Février 2025

Hyung Soon Kim et al.

L’arginase-1 (Arg1) est considérée comme un marqueur des macrophages anti-inflammatoires (macrophages M2), associée à la résolution de l’inflammation et à la promotion de la réparation tissulaire dans diverses conditions pathologiques. Cependant, son rôle spécifique dans la récupération fonctionnelle après un accident vasculaire cérébral ischémique (AVC ischémique) reste à élucider. Les auteurs rapportent que, dans un modèle photothrombotique d’AVC ischémique chez la souris, on observe une augmentation progressive de l’expression d’Arg1, culminant 7 jours post-AVC. A ce stade, l'Arg1 est principalement exprimée par les macrophages infiltrants. Un knockout conditionnel (cKO) d’Arg1 dans ces macrophages induit une amélioration significative de la motricité fine post-AVC, une atténuation de la cicatrice gliale et de l’élimination synaptique par les cellules microglies du cortex périlésionnel. La remyélinisation périlésionnelle est également améliorée. Par ailleurs, l’analyse par RNA-seq sur cellule unique montre une diminution de la signalisation du facteur de croissance transformant β (TGF-β) et de l’activité des cytokines pro-inflammatoires dans les cellules microgliales périlésionnelles. Des expériences de coculture macrophages/microglie/neurones confirment ces résultats.  

Le KO microglial d’Atg7 altère la réponse UPR et induit la ferroptose microgliale dans un modèle murin de maladie d’Alzheimer - Journal of Experimental Medicine – Février 2025

Zhangying Cai et al.

Une des fonctions majeures de la microglie dans la maladie d'Alzheimer (MA) est de contenir l’extension des plaques formées d’agrégats d’amyloïde-β (Aβ). Des études récentes ont impliqué les molécules associées à l’autophagie, notamment ATG7, dans ce processus. Dans cette étude, les auteurs démontrent que le KO microglial d’Atg7 altère la capacité des cellules microgliales à limiter la diffusion des plaques amyloïdes dans un modèle murin de MA. L’analyse par RNA-seq sur cellule unique révèle que le KO microglial d’Atg7 réduit la réponse UPR (Unfolded Protein Response), augmente le stress oxydatif et déclenche la ferroptose des cellules microgliales.

La glutaminolyse médiée par NLRP3 contrôle la phagocytose microgliale et favorise la progression de la maladie d'Alzheimer- Immunity – Février 2025

Róisín M. McManus et al.

L’activation de l’inflammasome NLRP3 a été impliquée dans la pathogénèse de la maladie d'Alzheimer (MA) via la libération d’IL-1β et de complexes ASC (« NLRP3-ASC specks ») extracellulaires. Dans cette étude, les auteurs montrent que les dépôts de peptides amyloïde-β activent NLRP3 chez les souris APP/PS1, un modèle reproduisant plusieurs caractéristiques de la MA. Le KO de NLRP3 entraine une augmentation du métabolisme de la glutamine et du glutamate ainsi qu'une expression accrue du transporteur au glutamate Slc1a3 associée à une amélioration de l’activité mitochondriale et métabolique des cellules microglies. La production d’alpha-cétoglutarate durant ce processus permet d’augmenter la capacité des cellules microgliales à éliminer les agrégats d’amyloïde-β en induisant notamment des modifications épigénétiques.

La reprogrammation microgliale renforce l'immunité antitumorale et la réponse à l'immunothérapie dans les métastases cérébrales de mélanome - Cancer Cell – Février 2025

Francisco Javier Rodriguez-Baena et al.

Les auteurs de cette étude montrent que l'activation microgliale de la voie Rela/NF-κB favorise les métastases cérébrales dans un modèle murin de mélanome. Le ciblage de cette voie induit une reprogrammation de la microglie vers un phénotype pro-inflammatoire, ce qui renforce l'immunité antitumorale et réduit la charge métastatique cérébrale. Par ailleurs, chez l’humain, les marqueurs microgliaux pro-inflammatoires dans les métastases cérébrales de mélanome sont associés à de meilleures réponses aux inhibiteurs de points de contrôle immunitaire (« immune checkpoint inhibitors »).

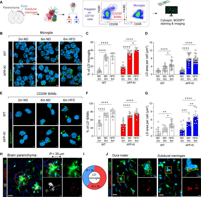
La réduction de la charge lipidique au sein des cellules microgliales améliore la phagocytose des plaques amyloïdes-β dans un modèle murin de la maladie d'Alzheimer - Science Advances – Février 2025

Xiaoting Wu et al.

Cette étude examine l'impact du métabolisme lipidique dans la maladie d'Alzheimer (MA), en évaluant la contribution des macrophages cérébraux riches en gouttelettes lipidiques (LDs pour « lipid droplets »), notamment les cellules microgliales et les macrophages associés aux barrières (BAMs pour « border- associated macrophages ») (macrophages méningés et macrophages périvasculaires). Les BAMs et les cellules microgliales CD11c+ activées situées près des plaques d’amyloïde-β présentent une signature transcriptomique indiquant une accumulation de LDs. De plus, les auteurs observent une corrélation inverse entre la charge lipidique intracellulaire et l'activité phagocytaire de la microglie. Un modèle génétique autorisant une inhibition microgliale de la formation de LDs montre une amélioration significative de la capacité à phagocyter les agrégats d’amyloïde-β.

La stimulation antigénique répétée en périphérie dicte la composition et les réponses mémoires des lymphocytes CD8+ du cerveau - Cell Reports – Février 2025

Madison R. Mix et al.

Le cerveau humain abrite des lymphocytes T CD8+ mémoires résidents (TRM pour « tissue-resident memory ») qui sont dirigés contre des antigènes viraux. Cependant, l’impact d’infections virales périphériques répétées sur la génération, le phénotype, la localisation et les fonctions mémoire des TRM cérébraux reste mal compris. Dans cette étude, les auteurs ont étudié deux modèles murins d’infection virale périphérique. Ils montrent que les lymphocytes T CD8+ mémoires circulants, ayant déjà été exposés à un antigène, présentent une capacité réduite à former des TRM cérébraux par rapport aux lymphocytes CD8+ naïfs. De plus, les TRM cérébraux ayant subi des stimulations répétées expriment différemment des récepteurs inhibiteurs, conservent leur fonctionnalité et affichent des schémas de localisation divergents par rapport aux lymphocytes mémoires primaires. Malgré ces différences, les TRM cérébraux stimulés de manière répétée offrent une protection similaire contre une infection intracrânienne, avec un recrutement amélioré des lymphocytes périphériques lors de la réponse mémoire.

Article de Revue - Le connectome neuro-immunitaire en situation physiologique et pathologique - Nature - Février 2025

Michael A. Wheeler & Francisco J. Quintana

Les systèmes nerveux et immunitaire jouent des rôles complémentaires dans l’adaptation des organismes aux changements environnementaux. Cependant, les mécanismes qui assurent le dialogue entre ces deux systèmes, appelés interactions neuro-immunitaires, restent encore mal compris. Cette revue résume les avancées récentes sur la communication neuro-immunitaire, en mettant principalement l’accent sur le système nerveux central (SNC), sa réponse aux signaux immunitaires et les effets de son activité sur le système immunitaire.

Les brèves du Bulletin N°56

 

Article N°1

Sonja Fixemer et al.

Les agrégats cellulaires de microglie définissent différentes niches de neurodégénérescence au sein de l’hippocampe chez les patients atteints de maladie d’Alzheimer

Acta Neuropathologica – Février 2025

 

Article N°2

Gab Seok Kim et al.

Ifi27l2a est un gène clé régulant l’activation microgliale dans l’AVC et au cours du vieillissement

Nature Communications – Février 2025

 

Article N°3

Theo Perochon et al.

DeepCellMap, une approche basée sur le deep learning et les statistiques spatiales, révèle l’organisation spatiale de la microglie dans le cerveau en développement

Nature Communications – Février 2025

 

Article N°4

Emmilotta A. Backman et al.

Evaluation de la neuroinflammation dans la maladie de Parkinson et les pathologies apparentées

Annals of Neurology – Février 2025

 

Article N°5

Jiayun Chen et al.

Analyse spatiotemporelle du transcriptome microgliale dans un modèle murin de paludisme : impact du traitement par artémisinine

Nature Communications – Février 2025

 

Article N°6

Rune H. Christensen et al.

L’imagerie par IRM quantitative identifie des signes d’inflammation corticale chez les patients souffrant de migraine

Annals of Neurology – Février 2025

 

Article N°7

Julia Velz et al.

Cartographie moléculaire des antigènes présentés aux lymphocytes T dans le médulloblastome : une étude multiomique

Nature Communications – Février 2025

 

Article N°8

Haiwei Ni et al.

L’irradiation FLASH sensibilise les cellules de médulloblastome aux traitements par CAR T-cells : implication du métabolisme lipidique et des macrophages infiltrants

Nature Cancer – Février 2025

 

Article N°9

Sienna S. Drake et al.

L’administration d’un adénovirus Oct4-Sox2-Klf4 permet le rajeunissement cellulaire des neurones et leur protection dans un contexte inflammatoire

Cell Reports – Février 2025

 

Article N°10

Stefano Garofalo et al.

Les plaquettes sanguines modulent la mémoire de la peur chez la souris

Cell Reports – Février 2025